|
|
|
|
|
| |
|
|
| |
Hyperthermiezentrum - Rhein Main
|
|
| |
|
|
| |
1. Hessisches Hyperthermiezentrum
|
|
| |
|
|
| |
|
|
| |
Regionale Tiefenhypermie ( locoregionale Elektrohyperthermie ) und moderne Onkologie - |
|
| |
die optimale Verbindung zwischen Schulmedizin und integrativer Onkologie. |
|
| |
|
|
| |
|
|
| |
Unter Hyperthermie versteht man die Erhitzung von Tumorgewebe mit dem Ziel der |
|
| |
Zerstörung von Tumorzellen |
|
| |
|
|
| |
Hyperthermieverfahren führen bei einer Überwärmung von mehr als 40° u.a. |
|
| |
|
|
| |
- zur Schädigung der Zellmembranen von Tumorzellen |
|
| |
- zur Übersäuerung der Krebszellen ( Steigerung der Sensitivität gegen Chemo- und |
|
| Strahlentherapie ) |
| |
- zur Bildung von Hitzeschockproteinen an den Krebszelloberflächen |
|
| |
( Erkennbarmachung der Krebszellen als Fremdzellen ) |
|
| |
|
|
| |
|
|
| |
Die wichtigsten Formen der Hyperthermie - (Oncothermie) |
|
| |
Mastall, H. Mit Hyperthermie Krebs wirksam bekämpfen. Naturarzt 2004;12:11-12 (1.Version) |
|
| |
|
|
| |
*Ganzkörperhyperthermie (extrem bis 42°) |
|
| |
(aufwendig, meist in Kliniken durchgeführt, erfordert intensives medizinisches monitoring) |
|
| |
|
|
| |
*Ganzkörperhyperthermie (moderat 39 - 40°) |
|
| |
(besonders zur Stimulierung des Immunsystems) |
|
| |
|
|
| |
*Oberflächenhyperthermie |
|
| |
(bei oberflächlichen Hauttumoren einsetzbar) |
|
| |
|
|
| |
*Intrakavitäre Perfusions - Hyperthermie |
|
| |
(bei inoperablen Bauchtumoren) |
|
| |
|
|
| |
*Prostata - Hyperthermie |
|
| |
(bei Prostata CA) |
|
| |
|
|
| |
|
|
| |
*Regionale Tiefenhyperthermie ( Locoregionale Elektrohyperthermie) |
|
| |
(ambulante Therapie regional begrenzter Tumoren und Metastasen) |
|
| |
|
|
| |
Mastall H. Mit Hyperthermie Krebs wirksam bekämpfen. Naturarzt 2004;12:11-12 |
|
| |
|
|
| |
Mastall H. Lebensrettendes Wissen bei der Diagnose Krebs. FEM 1997; 5:13-16 |
|
| |
|
|
| |
|
|
| |
Die Regionale Tiefenhyperthermie ist eine wichtige Therapie der erweiterten |
|
| |
Biologischen Krebstherapie ( bzw. Integrativen Onkologie = Komplementär-Onkologie ) |
|
| |
|
|
| |
Indikation für die regionale Tiefenhyperthermie: |
|
| |
|
|
| |
alle regional begrenztenTumore / Metastasen, wenn OP nicht möglich |
|
| |
- in Kombination mit Strahlentherapie |
|
| |
- in Kombination mit systemischer oder regionaler Chemotherapie |
|
| |
- in Kombination mit Strahlen- und Chemotherapie |
|
| |
- in Kombination mit Immuntherapie, Therapie mit monoklonalen Antikörpern oder |
|
| |
Hormonen |
|
| |
- Monotherapie, wenn keine Chemotherapie in Frage kommt. |
|
| |
|
|
| |
In unserem Therapiezentrum kommen für die regionale
Radiofrequenztiefenhyperthermie die sehr wirksamen Synchotherm
Hyperthermie zum Einsatz
|
|
| |
|
|
| |
In Deutschland kommt eines der wenigen Synchrotherm Hyperthermiegeräte derzeit im |
|
| |
1. Hesssischen Hyperthermiezentrum im Juvital Medical Center zum Einsatz.
|
|
| |
|
|
| |
|
|
| |
Vorteile der SYNCHROTHERM Hyperthermiegeräte: |
. |
| |
|
|
| |
1. |
flexible verformbare wassergekühlte Energiestrahler |
|
| |
|
|
|
| |
2. |
damit sich den zu behandelnden Körperteilen ( z.B. Kopf, Brust, Bauch ) anpassend |
|
| |
|
|
|
| |
Die Tiefenhyperthermie besteht aus 2 Serien: |
|
| |
|
|
| |
Zunächst erfolgen 15 Anwendungen von jeweils einer Stunde Dauer über 5 Wochen, |
|
| |
also 3 Behandlungen / Woche; |
|
| |
|
|
| |
nach einer Therapiepause kann eine zweite Serie von 10 - 12 Anwendungen von |
|
| |
jeweils einer Stunde Dauer erfolgen. |
|
| |
|
|
| |
Zwischen den Behandlungen müssen 1 bis 2 Tage liegen, um die nachgewiesene |
|
| |
Thermotoleranz ( Hitzeanpassung ) der Tumorzellen berücksichtigen zu können. |
|
| |
|
|
| |
Somit sind in einer Woche 2 bis 3 Applikationen möglich. |
|
| |
|
|
| |
|
|
| |
Regionale Tiefenhyperthermie |
|
| |
|
|
| |
Positive Behandlungsergebnisse durch regionale Tiefenhyperthermie liegen |
|
| |
vor bei: |
|
| |
|
|
| |
Lungentumoren, bes. Pleuramesotheliom |
|
| |
Lebertumoren |
|
| |
Bauchspeicheldrüsenkrebs |
|
| |
Magen-, Dickdarm-, Enddarmkrebs |
|
| |
Blasenkrebs |
|
| |
Gynäkologischen Tumoren: Mamma-CA, Eierstockkrebs, Gebärmutterkrebs, |
|
| |
Vaginalkrebs |
|
| |
Tumoren im Hals-, Nasen-, Ohren- Bereich, Speiseröhrenkrebs |
|
| |
Sarkomen |
|
| |
Hirntumoren |
|
| |
Knochenmetastasen |
|
| |
|
|
| |
|
|
| |
NEBENWIRKUNGEN DER LOCOREGIONALEN ELEKTROHYPERTHERMIE: |
|
| |
|
|
|
| |
* |
Lokale Hautrötung (selten) |
|
| |
* |
Müdigkeit |
|
| |
* |
Infolge verstärkten Absterbens bösartiger Zellen kann es in den Tagen nach der Behandlung |
|
| |
|
zu leichtem Fieber kommen. (Ganzkörpererwärmung bis zu 2° als Immunstimulierung |
|
| |
|
erwünscht ) |
|
| |
|
|
|
| |
Kontraindikationen der Locoregionalen Elektrohyperthermie: |
|
| |
|
|
|
| |
* |
Herzschrittmacher und andere Schrittmacherelektroden. Hierbei können die Arbeits- |
|
| |
|
frequenzen verändert werden, so das es in der Folge zu Fehlfunktionen kommt. |
|
| |
|
|
|
| |
* |
Gelenkersatz kann als Antenne dienen, sich aufheizen und dabei Verbrennungen |
|
| |
|
verursachen; aber nur, wenn in der behandelten Region Metall vorhanden ist. |
|
| |
|
|
|
| |
|
|
|
| |
Ziele der regionalen Tiefenhyperthermie: |
|
| |
|
|
| |
A: Verhinderung des Wachsens von Tumoren oder Metastasen (Progreß) |
|
| |
B: Verkleinerung des Tumors evtl. bis zur Operabilität (partielle Remission) |
|
| |
C: Verschwinden des Tumors (komplette Remission) |
|
| |
D: Verbesserung der Effektivität von Strahlen- und/oder Chemotherapie |
|
| |
E: Verminderung der Resistenzbildung von Chemotherapeutika bzw. Wiedereinsetzen |
|
| |
der Empfindlichkeit auf Chemotherapeutika (Sensivität) |
|
| |
|
|
| |
Lebermetastasen vor RTH - Lebermetastasen nach RTH
|
|
|
|
| |
|
|
|
|
| |
|
|
|
|
| |
Lebermetastasen bei Mamma C A |
|
| |
progrediente Lebermetastasen bei metastasierenden Mamma-CA ( ED.1/96 ) unter systemischer Chemotherapie (4xEC). Nach 6 maliger 1 stündiger regionaler Tiefenhyperthermie unter Beibehaltung der Chemotherapie wurde eine 80%ige Partialremission (Teilrückbildung) erreicht; aus |
|
| |
|
|
| |
Mastall H. Zeit- und situatiosgerechte Einsatzmodelle für komplementäre Verfahren während |
|
| |
konventionell-onkologischer Therapien: |
|
| |
32. Medizinische Woche Baden-Baden 1998; 02.XI |
|
| |
|
|
| |
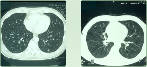
Lungenmetastasen vor RTH - Lungenmetastasen nach RTH
|
|
|
|
| |
|
|
|
|
| |
|
|
|
|
| |
Bronchial - CA
|
|
| |
diffuse Lungenmetastasierung eines mucinösen Adeno - CA - s unklaren Ursprungs (CUP-Syndrom) ED 1/97 2 malige Regionale Chemotherapie in Kombination mit 12 Behandlungen regionaler Tiefenhyperthermie (3 x / Woche) führten zur Vollremission; aus |
|
| |
|
|
| |
Mastall H. Zeit- und situatiosgerechte Einsatzmodelle für komplementäre Verfahren während |
|
| |
konventionell-onkologischer Therapien. |
|
| |
32. Medizinische Woche Baden-Baden 1998; 02.XI |
|
| |
|
|
| |
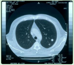
Lungenmetastasen vor OP
|
|
|
|
| |
|
|
|
|
| |
|
|
|
|
| |
Lungenmetastase eines Dickdarm - CA's ( ED 11/97 ). Präoperative 2 malige Behandlung der Lungenmetastase mit Regionaler Tiefenhyerthermie |
|
| |
Ergebnis: |
|
| |
Die postoperative Aufarbeitung des Tumors ergab eine 70 % ige Nekrose (Zelltod) der |
|
| |
Lungenmetastase; aus |
|
| |
|
|
| |
Mastall H. Zeit- und situatiosgerechte Einsatzmodelle für komplementäre Verfahren während |
|
| |
konventionell-onkologischer Therapien. |
|
| |
32. Medizinische Woche Baden-Baden 1998; 02.XI |
|
| |
|
|
| |
Statement zur Regionalen Tiefenhyperthermie von Dr.med. SAHIMBAS |
|
| |
Grönemeyer Institut |
|
| |
Ruhr-Universität |
|
| |
Bochum |
|
| |
|
|
| |
„Es gibt keine inoperablen Tumore bzw. keine Metastasen,
|
|
| |
bei denen die Regionale Tiefenhyperthermie nicht angewendet werden könnte"
|
|
| |
|
|
| |
|
|
| |
|
|
| |
Statement von |
|
| |
Prof. Dr. Anchras Szasz |
|
| |
Biotechnics Department |
|
| |
St. Istvan University, Hungary |
|
| |
Hyperthermie Symposium, 22 + 23.09.06, Köln : |
|
| |
|
|
| |
„Die regionale Tiefenhypertheimie zeigt ein extrem niedriges Risiko
|
|
| |
aber einen extrem hohen Nutzen (benefit) für den Patienten
|
|
| |
bei excellenter Kosten-Nutzen Relation."
|
|
| |
|
|
| |
|
|
| |
|
|